Deformidades do Joelho
1. Deformidades do joelho: Joelho Varo ou Valgo
Se você percebe que os seus joelhos não bem alinhados, tem joelho torto, pernas arqueadas ou joelhos em X, pode estar diante de uma deformidade no alinhamento do joelho chamada de varo ou valgo.
Essas alterações vão muito além da estética. Elas podem causar dor, desgaste da articulação e até levar à necessidade de cirurgia.
2. O que são deformidades em varo ou em valgo do joelho?
São deformidades do joelho no plano coronal, aquelas observadas de frente.
- Joelho varo (genu varum): pernas arqueadas, cambotas
- Joelho valgo (genu valgum): joelhos em X
Essas alterações modificam a forma como o peso do corpo é distribuído sobre o joelho. Ou seja, um joelho com deformidade, não distribui a carga uniformemente causando a sobrecarga da cartilagem articular em algum compartimento. Assim, no joelho varo, há uma sobrecarga no compartimento medial (interno) e no joelho valgo, no compartimento lateral (externo).

3. Joelho Varo

Principais sintomas do Joelho Varo (pernas arqueadas):
- Dor na parte interna do joelho
- Sensação de pressão ao caminhar
- Dificuldade para atividades físicas
- Sensação de instabilidade lateral
Principais causas do Joelho Varo:
- Artrose do joelho
- Alterações do desenvolvimento
- Sequelas de lesões ou fraturas
- Variação da constituição corporal
4. Joelho Valgo

Principais sintomas do Joelho em Valgo (joelhos em X):
- Dor na parte externa do joelho
- Sensação de desalinhamento
- Alterações ao caminhar
- Sensação de instabilidade interna
Principais causas do Joelho Valgo:
- Variação da constituição corporal
- Doenças inflamatórias
- Sequelas de cirurgias ou lesões
- Artrose do joelho
5. Joelho torto pode causar artrose?

Infelizmente, a resposta é sim. O desalinhamento do joelho é uma das principais causas de desgaste da cartilagem (artrose). A sobrecarga sofrida em um dos compartimentos nos joelho com deformidade pode causar lesões na cartilagem articular e nos meniscos, sendo uma causa mecânica da artrose.
O varo leva à artrose medial (interna)
O valgo leva à artrose lateral (externa)
Com o tempo, pode haver:
- Dor progressiva
- Rigidez
- Limitação para atividades do dia a dia
6. Quando procurar um especialista?
Você deve procurar avaliação especializada se apresentar:
- Dor persistente no joelho
- Sensação de joelho desalinhado
- Dificuldade para caminhar ou praticar esportes
- Percepção de piora progressiva da deformidade, do “joelho torto”.
O diagnóstico precoce pode evitar a progressão do problema.
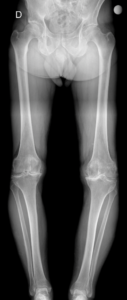
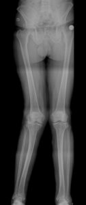
7. Como é feito o diagnóstico?
O diagnóstico é realizado por meio de:
- Avaliação clínica
- Análise do alinhamento dos membros
- Radiografia panorâmica em carga
Esses exames permitem identificar o grau da deformidade e indicar o melhor tratamento.
8. Qual é o tratamento para joelho varo ou valgo?
O tratamento depende do grau da deformidade e dos sintomas.
Cada paciente apresenta um padrão de deformidade e evolução diferente. Por isso, o tratamento deve ser individualizado e baseado em avaliação especializada.
Tratamento sem cirurgia:
- Fisioterapia
- Fortalecimento muscular
- Controle do peso
- Uso de órteses e palmilhas em casos selecionados
Tratamento cirúrgico:
O tratamento cirúrgico depende de cada caso. A deformidade pode ser corrida através de Osteotomia Corretiva, nos ossos ao redor do joelho ou nos ossos longos (fêmur e tíbia), ou deformidade pode ser corrigida na articulação do joelho através de Artroplastia Total, nos casos de artrose grave.
Osteotomia (correção do alinhamento)

Prótese de joelho (artroplastia) em casos avançados
